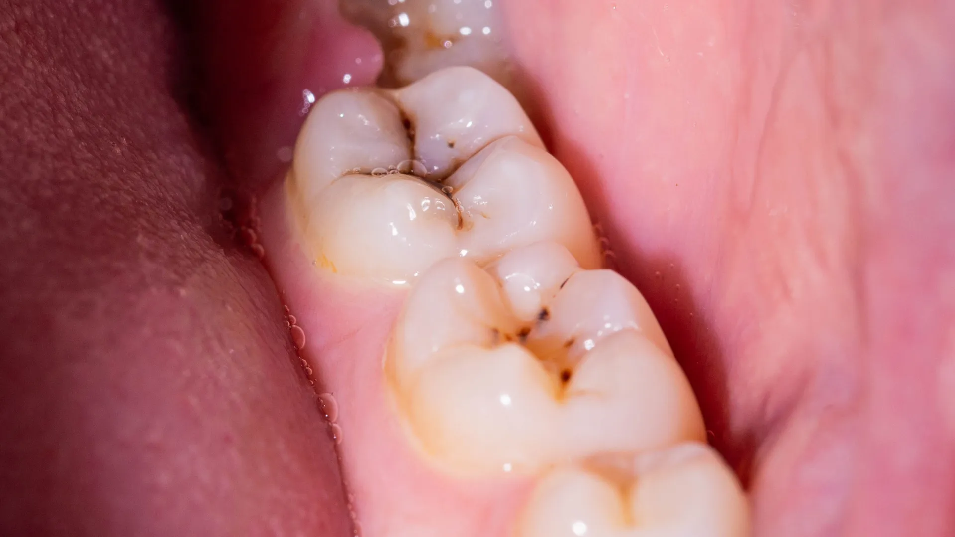
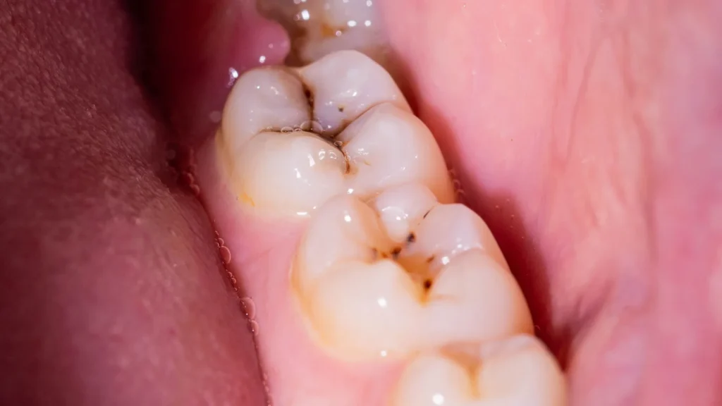
New York City is a place of endless motion and constant pressure. Between crowded subways, packed workdays, and grab-and-go meals, oral hygiene is often set aside. People snack frequently, skip brushing, and consume sugary drinks to stay energized. Over time, these habits quietly lead to tooth decay, a problem that has become increasingly common across the city.
Many residents rely on dental fillings in NYC to fix cavities and restore their smiles. The growing demand for such treatments shows how modern lifestyles affect oral health. Understanding what drives this issue helps New Yorkers take practical steps toward prevention and better dental care.
City Habits That Harm Teeth
The rhythm of New York life leaves little room for rest or routine. People eat fast, rush through meals, and neglect proper brushing afterward. Bacteria feed on leftover food particles, releasing acids that damage enamel. Decay starts small but progresses quickly in the absence of daily care.
Late nights and fatigue make it easy to skip flossing or brushing before bed. Plaque then hardens, and cavities begin to form beneath the surface. These daily oversights, repeated across months, create serious dental problems.
Hidden Sugars in New Yorkers’ Diets
Sugar hides in almost every convenient food around the city. Smoothies, sauces, pastries, and even coffee blends contain more sugar than most people realize. Each sweet bite or sip fuels bacteria that wear down enamel and cause decay. What feels like a harmless habit becomes a steady attack on teeth.
Restaurants and food trucks make it easy to choose quick, flavorful meals. Yet many of these options are high in refined carbohydrates and sweet additives. Reducing sugar and increasing water intake can drastically cut the risk of tooth decay.
How Water Choices Affect Oral Health
New York’s tap water is generally safe and pleasant to drink, but fluoride levels vary. Fluoride strengthens enamel and helps prevent cavities. Those who avoid tap water and rely on bottled options miss out on this benefit. Over time, reduced fluoride exposure can make teeth more vulnerable.
Dentists across the city encourage residents to drink more tap water or use fluoride rinses. A simple change in water choice can reinforce enamel protection and lower the rate of decay. It’s an easy fix that makes a lasting difference.
Stress, Lifestyle, and Dental Neglect
The city’s pace fuels constant stress, which affects more than the mind. Many people grind or clench their teeth under tension, leading to enamel erosion and cracks. These small breaks allow bacteria to reach deeper layers and start to decay. Stress also reduces focus on self-care, including dental hygiene.
Postponed dental visits let small cavities grow. By the time pain appears, treatment becomes more complex and costly. Managing stress and keeping routine checkups can prevent this chain reaction before it begins.
Effective Treatments and Smart Prevention
Dentists throughout New York are working to raise awareness about early dental care. Consistent brushing, flossing, and regular cleanings form the foundation of strong oral health. Catching problems early saves your smile and your money.
When decay develops, dental fillings in NYC provide reliable solutions. Modern materials look natural and stop damage from spreading. Combined with improved habits, these treatments help New Yorkers maintain brighter, healthier smiles for years to come.
Tooth decay in New York reflects the city’s pace, diet, and daily choices. The mix of sugar-heavy foods, stress, and limited downtime has made cavities a frequent concern. Yet the problem is preventable with awareness, discipline, and regular care. By adjusting habits and seeking timely treatment, New Yorkers can protect their teeth and keep their confidence intact. A healthy smile remains one of the city’s most powerful assets.
